R
adioanatomie
.com
Atlas d'anatomie
Coeur coupes TDM
Lobes et gyrus cérébraux
Territoires vasculaires
Rocher coupes TDM
Oreille interne coupes IRM
Encéphale coupes TDM
Troncs Supra-Aortiques
Polygone de Willis
Veines de l'encéphale
Système ventriculaire
Carotide externe
Os du crâne
Voies auditives
Voies optiques
Quizz d'anatomie
Présentations
Présentations manipulateurs
Présentations étudiants
Images radiologiques
Cas cliniques médicaux
Cas cliniques manipulateurs
Clairance
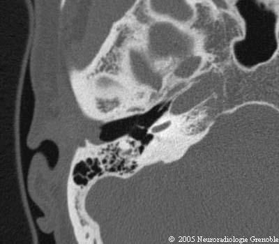
Radioanatomie TDM du rocher normal
Conduit auditif externe
Tympan
Marteau (manche)
Cochlée
Canal carotidien
Virginie Lefournier
Illustrations : Cédric Mendoza
Share on Facebook
Share on Google+
Share on Twitter
x
Rechercher
Votre mot-clé :
×