R
adioanatomie
.com
Atlas d'anatomie
Coeur coupes TDM
Lobes et gyrus cérébraux
Territoires vasculaires
Rocher coupes TDM
Oreille interne coupes IRM
Encéphale coupes TDM
Troncs Supra-Aortiques
Polygone de Willis
Veines de l'encéphale
Système ventriculaire
Carotide externe
Os du crâne
Voies auditives
Voies optiques
Quizz d'anatomie
Présentations
Présentations manipulateurs
Présentations étudiants
Images radiologiques
Cas cliniques médicaux
Cas cliniques manipulateurs
Clairance
>
Atlas d'anatomie >
Radioanatomie et plans de coupe en IRM cardiaque
[Chargement des images 000%]
Radioanatomie et plans de coupe en IRM cardiaque
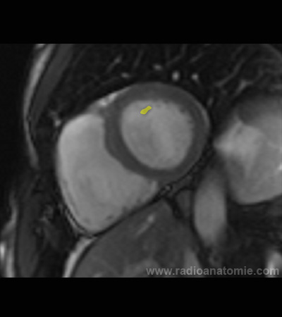
Coupe petit axe
Plan 4 cavités
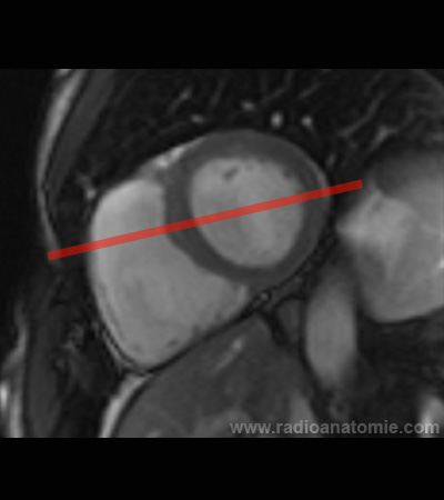
Plan 2 cavités
Plan chambre de chasse du ventricule gauche (LVOT)
Pilier de la valve mitrale
Ventricule gauche
Ventricule droit
Septum interventriculaire
Mathieu Lavaud
-
IRM Aurillac
Stéphanie Le Floch
-
IRM Aurillac
QUIZZ
Share on Facebook
Share on Google+
Share on Twitter
x
Rechercher
Votre mot-clé :
×