Radioanatomie du rocher sur coupes TDM


Différentes coupes de référence (A. Attyé 2013)

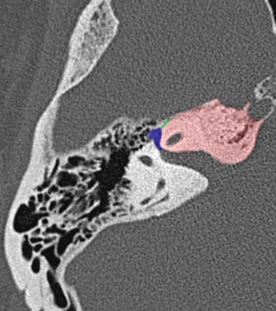
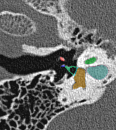
Coupe axiale passant par le canal semi-circulaire supérieur Coupe axiale passant par le canal semi-circulaire latéral Coupe axiale passant par le modiolus de la cochlée Coupe axiale passant par la fenêtre ronde Coupe axiale passant par le ganglion géniculé Coupe axiale passant par l'articulation incudo-malléaire Coupe axiale passant par la partie pétreuse de l'artère carotide interne Coupe axiale passant par le nerf tympanique
Coupe axiale passant par le foramen styloïde Coupe coronale passant par le muscle tenseur du tympan Coupe coronale passant par le recessus epitympanique Coupe sagittale passant par le segment mastoïdien du nerf facial coupe sagitalle oblique passant par le canal semi-circulaire supérieur (plan de Pöschl) Reconstruction axiale passant par le plan de l'étrier Coupe axiale passant par les apex pétreux