[Chargement des images 000%]

blanc preload
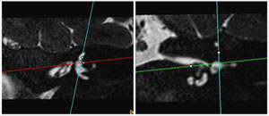
Vestibule Superior semicircular canal Basal turn Ampullary crest

MRI imaging of the inner ear

Francais English

Eldda Banciu - Clinique Universitaire de Neuroradiologie - CHU de Grenoble

Arnaud Attyé - Clinique Universitaire de Neuroradiologie - CHU de Grenoble

Illustrations : Cédric Mendoza


View the original presentation on the Neuroradiologie departement of CHU Grenoble website