[Chargement des images 000%]

blanc preload
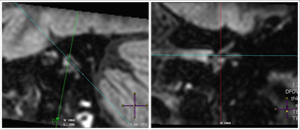
Internal acoustic canal Utricle Vestibule Lateral semicircular canal  Posterior semicircular canal

MRI imaging of the inner ear

Francais English

Eldda Banciu - Clinique Universitaire de Neuroradiologie - CHU de Grenoble

Arnaud Attyé - Clinique Universitaire de Neuroradiologie - CHU de Grenoble

Illustrations : Cédric Mendoza


View the original presentation on the Neuroradiologie departement of CHU Grenoble website